ガタガタ、凸凹(叢生)の歯並びとは
生え変わりの際、歯が正しい位置に生えるためのスペースが不足していることで、歯並びがガタガタになってしまっている状態です。見た目の問題を気にされている患者様がほとんどですが、見た目だけでなく虫歯や歯肉炎、歯周病などの疾患に繋がったり、咬み合わせの問題から過剰な力の負担がかかる歯並びでもあります。

口元の印象はこんなに変わる!

治療前後の口元の写真を見比べると、笑顔が大きく変化しました。治療前に比べて、グッと口角が上がり、さらに素敵な笑顔になりました。
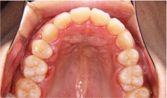
■ 倒れている歯は長持ちしない!

治療前、上下の歯並びのアーチが非常に狭いことで、歯が並びきらずにガタガタの歯並びになっている状態でした。このような狭い歯並びのことを歯科では「狭窄歯列(きょうさくしれつ)」といいます。特に下の歯並びのアーチが狭く、全体的に歯が内側に向かって倒れてしまっています。歯は横からの力に弱く、倒れている歯に噛む力が日々加わることで、過度な負担をかけてしまいます。

矯正治療で内側に倒れている歯を起こし、歯並びのアーチを広げることで、ガタガタの歯並びを改善しながら、噛む力に耐えられる構造に改善しました。
症例情報


| 主訴 | 歯のガタつき |
|---|---|
| 診断名 | 叢生 |
| 年齢 | 17歳7ヶ月 |
| 治療に用いた 主な装置 |
リンガルブラケット矯正装置 |
| 抜歯部位 | 上顎左右4番、下顎左右5番 |
| 治療期間 (通院回数) |
3年1ヶ月(通院回数 37回) |
| 治療費用 | 1,344,000円(当時の総額) |
| リスク・ 副作用 |
|
ガタガタの歯並びが磨き残しの原因に

初診時、糸切り歯が上の方に生え、上下の側切歯(真ん中から2番目の歯)が中に入ってしまっている叢生の状態です。糸切り歯が他の歯より上に位置していることや歯が重なっていることで、磨き残しが多くなり、虫歯や歯肉炎、歯周病を誘発することになってしまいます。矯正治療を行うことで、見た目が改善されただけでなく、歯並びが整い、シンプルな歯磨きで清掃を行えるようになりました。歯並びを整えることは、管理しやすい環境をつくり、虫歯や歯肉炎から予防していくことに繋がるのです。
症例情報


| 主訴 | 歯並びにガタつきがある |
|---|---|
| 診断名 | 叢生 |
| 年齢 | 15歳5ヶ月 |
| 治療に用いた 主な装置 |
セルフライゲーションブラケット装置(クリッピーC) |
| 抜歯部位 | 上下左右4番 |
| 治療期間 (通院回数) |
2年4ヶ月(通院回数 28回) |
| 治療費用 | 892,500円(当時の総額) |
| リスク・ 副作用 |
|
矯正治療のリスク・副作用
- 個人差がありますが、歯に痛みや違和感が出ることがあります。
- 唇や頬に矯正装置が擦れやすく、口内炎ができやすくなります。
- 矯正装置を付けると歯磨きが難しくなるため、虫歯や歯肉炎、歯周病にかかるリスクが高くなります。
- 矯正治療後、保定装置を装着していただけないと後戻りする可能性があります。
- 使用する矯正装置によっては、完成物薬機法対象外の矯正歯科装置であり、
医薬品副作用被害救済制度の対象外となる場合があります。




