50代の矯正
50代からの矯正治療では手遅れだと思っていませんか?矯正治療を始めるのに、年齢による制限はありません。もっと綺麗になりたい!一生自分の歯で健康に過ごしたい!と思われることは、素晴らしいことです。10年後20年後に、「あのとき矯正治療をして良かった」と自信に満ちた笑顔になっていただけるような矯正治療を行います。
矯正治療を「年齢」で諦めている方へ


「今さら手遅れなのでは・・・?」と心配されている方がほとんどかと思います。実際に、歯周病が進行してしまっている場合には、歯を動かすことが難しかったり、歯周病治療を行ってからでないと矯正治療を行うことができないことがあります。しかし、基本的には健康な歯茎と歯を支える骨があれば、いつからでも矯正治療を行うことができます。「綺麗になりたい!」というせっかくの気持ち、年齢で諦めずに一緒に実現していきませんか?下記では、実際に当院で治療を行った50代の患者様の治療例をご紹介していますので、参考にご覧ください。
50代の治療例1
主訴 | 受け口なのが気になる |
---|---|
診断名 | 下顎前突症 |
年齢 | 52歳6ヶ月 |
治療に用いた 主な装置 |
マルチブラケット装置 |
抜歯部位 | 下顎両側4番抜歯 |
治療期間 (通院回数) |
4年2ヶ月(通院回数 50回) |
治療費用 | 935,000円 |
リスク・副作用 |
|
治療前

治療後

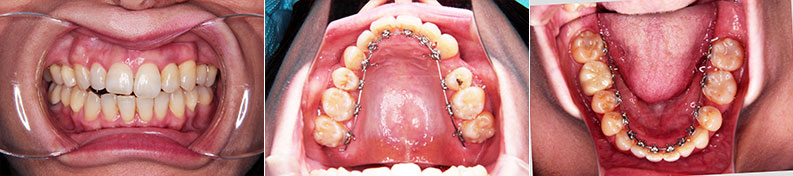
50代の治療例2
主訴 | 歯のがたつきが気になる |
---|---|
診断名 | 叢生 |
年齢 | 49歳 |
治療に用いた 主な装置 |
リンガルブラケット矯正装置(クリッピーL) |
抜歯部位 | 叢生と正中偏位の為、上顎左右側第一小臼歯、下顎左側第二小臼歯 |
治療期間 (通院回数) |
2年11か月(通院回数 35回) |
治療費用 | 検査・診断料 88,000円 矯正料 1,320,000円 |
リスク・副作用 |
|
治療前

治療中

治療後

50代に矯正治療が必要な理由
-
歯を失わず、ずっと自分の歯で
年齢を重ねていくと、歯を失ってしまう方が増えていきます。では、なぜ歯を失うことになってしまったかということですが、大きな原因の1つは‘‘歯周病‘‘です。歯周病から歯を守ることで、生涯ご自身の歯で過ごせる可能性を高めることができます。歯磨きなどのケアがしやすい歯並びを矯正治療でつくるということが、歯周病から予防するための1つの手段となります。
-
年齢を重ねても、元気な体と脳を
自分の歯でしっかり噛めるということは、食事を美味しく食べられるだけではありません。食事から様々な栄養素を取り入れることで、体の健康を守ることができ、噛むことで脳に刺激を与え、認知症を予防することができます。体と脳の元気の秘訣は、「自分の歯を保ち、しっかり噛む」ということにあるのです。
50代の矯正治療よくあるご質問
-
Q1
: 矯正装置が目立たないように治療がしたいのですが、目立たない装置や方法はありますか?
A
: 歯の裏側に矯正装置を付けて治療を行う「舌側矯正」や、マウスピース型矯正装置を使用した治療を行うことで、目立たない治療を行うことができます。歯の表側に装着する矯正装置も、従来に比べてずいぶん目立ちにくくなっています。詳しくは、矯正装置の種類のページをご覧下さい。
-
Q2
: 年齢によって、矯正治療の流れや治療期間は変わりますか?
A
: お口の中の状態やケースの難易度によって治療期間が長くなることはありますが、年齢によって治療の流れや治療期間が異なることはありません。詳しくは、矯正治療の流れをご覧下さい。
-
Q3
: 矯正治療を行うにあたって注意することはありますか?
A
:基本的に歯磨きがとても大切です。矯正装置が付くと、歯磨きが複雑になりますが、歯磨きのコツなどもお伝えしますので、安心して下さい。歯周病の方に関しては、症状によって異なりますが、一般歯科と連携をとり歯周病の管理しながら矯正治療を行う必要があります。あとは、装置が外れてしまうことを防ぐために、粘着性の強い食べ物には注意してください。
矯正治療のリスク・副作用
- 個人差がありますが、歯に痛みや違和感が出ることがあります。
- 唇や頬に矯正装置が擦れやすく、口内炎ができやすくなります。
- 矯正装置を付けると歯磨きが難しくなるため、虫歯や歯肉炎、歯周病にかかるリスクが高くなります。
- 矯正治療後、保定装置を装着していただけないと後戻りする可能性があります。
- 使用する矯正装置によっては、完成物薬機法対象外の矯正歯科装置であり、
医薬品副作用被害救済制度の対象外となる場合があります。