当院には多くのお子さんが矯正治療に通われています。お子さんが前向きに治療に取り組めるよう、安心してご来院いただける雰囲気づくりを大切にしています。
お子さんへの負担が少なくなるような治療を心がけていますので、どうぞお気軽にご相談ください。
子供のうちに
矯正を始めるメリット

矯正治療は、大人と子供では大きく異なります。
大人の場合、永久歯の大きさ・数は決まっており、顎の成長も終わっています。そのため、歯並びを整えるには、歯を抜いたり、削ったりして、歯を並べるスペースを確保するしかありません。
しかし、子供の矯正(小児矯正)は、顎の成長を利用して、抜歯なしで永久歯が正しい位置に生えるようスペースを確保できたり、治療方法が選択できたりといったメリットがあります。
矯正歯科専門医による治療

当院の院長は、日本歯科専門医機構認定の矯正歯科専門医です。矯正治療のスペシャリストとして、お子さんの成長や将来性なども考慮しながら、負担が少なく安心して進められる治療をご提供します。
矯正歯科専門医とは
矯正歯科専門医とは、矯正歯科の診断、治療および術後管理などの「専門領域において適切な研修教育を受け、十分な知識と経験を備え、患者から信頼される専門医療を提供できる歯科医師」と定義されています。
-
歯を抜かずに矯正できる
乳歯から永久歯に生え変わるときに、顎が小さくて、歯が並ぶスペースが確保できていないと、きれいに永久歯が並ぶことができません。
小児矯正では、歯の大きさ、数に合わせて顎の成長を正しい形へと促すことで、抜歯の必要性を減らすことができます。
-
手術の必要性が減る
永久歯への生え変わりの時期に、歯の傾きが原因で受け口になってしまった場合は、何もしないと傾きの歯に沿って顎が成長してしまい、顎のズレが大きくなり過ぎることがあります。
完全に顎の成長が止まってしまう前に、咬み合わせを治すことで、手術を併用した矯正(外科矯正)をせずに済む可能性が高くなります。
-
顎の変形を防ぐ
成長期に咬み合わせが正しくない状態が続くと、顎の変形が悪化する場合があります。
早期に咬み合わせを改善することで、顎の変形を防ぐことができます。
-
コンプレックスの解消
歯並びにコンプレックスを持っているお子さんが、お友達に指摘されて、傷ついてしまうケースもあります。
矯正治療で早期に歯並びを改善することで、周りの目を気にせずに自信を持って過ごすことができます。
-
虫歯予防にもなる
定期的にご来院いただき、診療を受け、口腔内を管理することで、虫歯の予防や早期発見に繋がります。
-
大人の矯正が楽になる
子供の時期に歯並びを改善することで、永久歯の矯正治療がスムーズに進み、大人になってからの負担を軽減することができます。
治療を始めるタイミング

「何歳から矯正を始めたら良いですか?」というご質問をよくいただきますが、お子さんによって永久歯が生えるタイミングが違うため、年齢を限定することは難しいです。
一つの目安としては、6~10歳頃です。永久歯が生え揃う前に矯正治療を始めると、顎の成長をコントロールしやすいので、歯を抜くリスクを低くできます。
受け口治療はお早めに
受不正咬合の中でも、特に受け口は、永久歯が生え始める前に、治療を開始するのが効果的です。
もちろん永久歯が生え揃った後でも、矯正治療は始められます。
しかし、顎の骨の成長が見込めない場合は、第二期治療が必要になったり、歯を並べるスペースを確保するために、上下4本の歯を抜く可能性が生じたりします。
当院の小児矯正のこだわり




子供の矯正では、顎を正しく成長させるための装置を使用し、顎の成長を促進して、永久歯がキレイに並ぶスペースを作ることを目的にしています。
抜歯の有無については、永久歯が生え揃った後の第二期治療で判断しています。
-
些細なことでも聞いてください
矯正を考えた時から治療を開始するまでに、お子さんや保護者の方はさまざまな不安や疑問を抱えていることと思います。
「どんな人が働いているの?」「院長は怖くない?」「治療は痛い?」以外にも、治療方法・お支払い方法・治療期間・引っ越しの可能性など、何でも構いません。
お子さんの矯正治療について気になることがございましたら、どんな小さなことでもご質問ください。
-
お子さんの負担を抑えた治療
当院で使用している矯正装置は、すべて取り外しが可能な装置を使い、お子さんの負担を抑えた治療をいたします。
従来の金属のワイヤー、ヘッドギアなどの装置は使いません。
メリット
- 装着するタイミングを自由に決めることができる
(1日でトータル10時間以上の装着が必要) - 学校に装着していく必要がない。
- 食事制限がない。
- 歯みがきのケアがしやすい。
- 矯正していることが他人に気づかれにくい。
デメリット
- 決められた装着時間を守らないと、計画通りに治療が進まないことがある。
- 第一段階(取り外せる装置)で効果が現れなかった場合、第二段階(大人の治療に進まれた方)での治療時に、抜歯のリスクが高まる。
低年齢の頃から矯正をスタートされるお子さんも多いです。そのため、ご家族でメリット・デメリットをよくご理解いただいたうえで、治療を進めていただければと思います。
- 装着するタイミングを自由に決めることができる
-
追加費用はかかりません
当院では、再診料・処置料・調整料などは一切いただきません。治療期間が延びても追加料金は発生しませんので、安心して治療を続けていただけます。
できる限り治療負担を抑え、お子さんと保護者の方に無理のない矯正をおこないます。
-
楽しく通院できる環境を提供
お子さんが矯正治療を受ける際、最も重要なのは「治療を嫌がらない」「怖がらない」ことです。
もちろん、治療技術も重要ですが、治療に対してお子さんが楽しく取り組み、協力していただけることが、良い結果に繋がると考えています。
私たちは、お子さんに緊張や不安を感じさせることなく、楽しく通院できる環境を提供できるよう努めています。
お子さんの目線に立った対応を心がけ、笑顔で診療にあたることで、治療を怖がらずに進めていけるようサポートいたします。
-
院内イベントで楽しさUP
当院では、患者様に楽しんでいただけるよう、定期的にイベントを開催しています。
例えば、プロのマジシャンによるマジックショーや、ビンゴゲーム、くじ引き、スーパーボールすくいなど、様々なイベントを準備しています。
プロのマジックは大人でも驚くようなパフォーマンスです!治療だけでなく、イベントも楽しんでいただけたら嬉しいです。
ほかにも、サマーフェスティバル、ハロウィン、クリスマス時は、スタッフの制服も一工夫して、皆様のご来院をお待ちしています。
実際の治療例
叢生(ガタガタ)
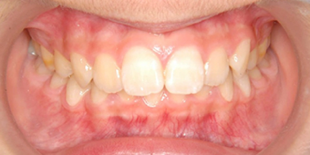
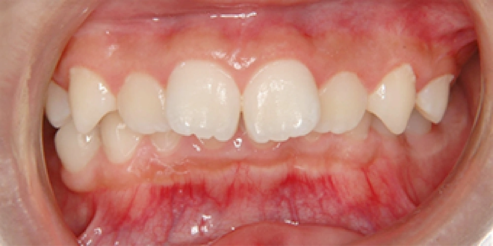
ケース1 7歳0ヶ月 → 13歳7ヶ月



7歳0ヶ月



13歳7ヶ月
主訴 | 前歯が出ている |
---|---|
診断名 | 叢生 |
年齢 | 7歳 |
治療に用いた主な装置 | 拡大床 |
抜歯部位 | 乳歯以外非抜歯 |
治療期間(通院回数) | 6年7か月 (通院回数30回) |
治療費 | 280,000円(税込:当時の総額) |
リスク・副作用 |
矯正歯科治療に伴う一般的なリスクや副作用について
|
永久歯が生えてきてますが、あきらかに前歯が並ぶスペースが不足しています。治療後は下顎前歯がややガタついていますが、ワイヤーを一切使わずに取り外し式の拡大装置(室内のみで使用)みで改善いたしました。
ケース2 10歳6ヶ月 → 16歳8ヶ月



10歳6ヶ月



16歳8ヶ月
主訴 | ガタガタの歯並び |
---|---|
診断名 | 叢生 |
年齢 | 10歳 |
治療に用いた主な装置 | 拡大床 |
抜歯部位 | 非抜歯 |
治療期間(通院回数) | 6年2か月 (通院回数33回) |
治療費 | 308,000円(税込:当時の総額) |
リスク・副作用 |
矯正歯科治療に伴う一般的なリスクや副作用について
|
上下顎ともにスペース不足で上顎左右側側切歯は奥に生え、下顎左側側切歯は犬歯よりも奥に位置しておりました。拡大床やリンガルアーチなどで治療をし、本格矯正(ブラケット装置を付けてワイヤーを通しての治療)なしで改善いたしました。
ケース3 7歳0ヶ月 → 14歳10ヶ月



7歳0ヶ月



14歳10ヶ月
主訴 | ガタつき |
---|---|
診断名 | 叢生 |
年齢 | 7歳 |
治療に用いた主な装置 | 拡大床 |
抜歯部位 | 乳歯以外非抜歯 |
治療期間(通院回数) | 7年10か月 (通院回数38回) |
治療費 | 280,000円(税込:当時の総額) |
リスク・副作用 |
矯正歯科治療に伴う一般的なリスクや副作用について
|
永久歯が生えてきてますが、あきらかに前歯が並ぶスペースが不足しています。取り外し式の拡大装置(室内のみで使用)の治療で概ねガタつきが改善されました。
上顎前突(出っ歯)/
過蓋咬合(咬み合わせが深い)
ケース1 8歳0ヶ月 → 9歳0ヶ月



8歳0ヶ月



9歳0ヶ月
主訴 | 咬み合わせが深い |
---|---|
診断名 | 過蓋咬合を伴う上顎前突 |
年齢 | 8歳 |
治療に用いた主な装置 | 機能的矯正装置(T4K) |
抜歯部位 | 非抜歯 |
治療期間(通院回数) | 12ヶ月(通院回数 12回) |
治療費 | 308,000円(税込:当時の総額) |
リスク・副作用 |
矯正歯科治療に伴う一般的なリスクや副作用について
|
咬み合せが深く前歯が飛び出しているように見えてしまいます。深い噛み合せは見た目以外に顎関節症のリスクや虫歯になりやすいのです。
頑張って装置を使用してくれたこともあり、早い期間で結果がでています。
ケース2 11歳2ヶ月 → 14歳9ヶ月



11歳2ヶ月



14歳9ヶ月
主訴 | 咬み合わせが深い |
---|---|
診断名 | 過蓋咬合 |
年齢 | 11歳 |
治療に用いた主な装置 | 機能的矯正装置(T4K) |
抜歯部位 | 非抜歯 |
治療期間(通院回数) | 3年7ヶ月(通院回数 30回) |
治療費 | 308,000円(税込:当時の総額) |
リスク・副作用 |
矯正歯科治療に伴う一般的なリスクや副作用について
|
噛み合わせが深く前歯が斜めに傾いています。まだ顎の骨が成長していない場合、舌に押し出されて出っ歯が悪化する可能性もあります。
噛み合わせも改善し、前歯の傾きも改善されています。
ケース3 11歳3ヶ月 → 13歳11ヶ月



11歳3ヶ月



13歳11ヶ月
主訴 | 咬み合わせが深い |
---|---|
診断名 | 過蓋咬合を伴う上顎前突 |
年齢 | 11歳 |
治療に用いた主な装置 | 機能的矯正装置(T4K) |
抜歯部位 | 非抜歯 |
治療期間(通院回数) | 2年8ヶ月(通院回数 27回) |
治療費 | 308,000円(税込:当時の総額) |
リスク・副作用 |
矯正歯科治療に伴う一般的なリスクや副作用について
|
噛み合せが深く、歯が並ぶスペースも不十分であるため、前歯がぶつかり合って傾いてきてます。
スペースを確保することでキレイに並びました。
下顎前突(受け口)
ケース1 7歳3ヶ月 → 7歳8ヵ月



7歳3ヶ月



7歳8ヵ月
主訴 | 受け口 |
---|---|
診断名 | 下顎前突 |
年齢 | 7歳 |
治療に用いた主な装置 | 歯列矯正用咬合誘導装置(ムーシールド) |
抜歯部位 | 非抜歯 |
治療期間(通院回数) | 5ヶ月(通院回数 5回) |
治療費 | 308,000円(税込:当時の総額) |
リスク・副作用 |
矯正歯科治療に伴う一般的なリスクや副作用について
|
下顎前突の原因の多くは、上顎が正しく成長していないことにあります。下顎前突は滑舌にも影響をあたえます。
奥歯が正しくかみ合わないので食べ物をほとんど噛まずに丸飲みすることが増え、噛まない癖がつくことで異常な癖がつきやすくなります。
下顎前突は顎が完全に成長してから治療となると、外科手術を必要とするケースが多くなります。
子供の頃から正しい成長をサポートすることで、大きな負荷もなく治療できます。
ケース2 7歳0ヶ月 → 10歳11ヶ月



7歳0ヶ月



10歳11ヶ月
主訴 | 受け口 |
---|---|
診断名 | 前歯1歯の反対咬合 |
年齢 | 7歳 |
治療に用いた主な装置 | 歯列矯正用咬合誘導装置(ムーシールド) |
抜歯部位 | 非抜歯 |
治療期間(通院回数) | 3年11ヶ月(通院回数 31回) |
治療費 | 308,000円(税込:当時の総額) |
リスク・副作用 |
矯正歯科治療に伴う一般的なリスクや副作用について
|
上顎の成長が足りないことで前歯が並ぶスペースがないだけでなく、下顎が前にでてきています。
このまま放っておいても自然と治ることはありません。むしろ悪い癖がつき、より悪化する可能性が高くなります。
まだ永久歯が完全に生え変わっていませんが、顎のスペースが十分確保できているのでキレイに並んでいきます。
ケース3 6歳6ヶ月 → 11歳7ヶ月



6歳6ヶ月



11歳7ヶ月
主訴 | 受け口 |
---|---|
診断名 | 叢生を伴う反対咬合 |
年齢 | 6歳 |
治療に用いた主な装置 | 歯列矯正用咬合誘導装置(ムーシールド) |
抜歯部位 | 非抜歯 |
治療期間(通院回数) | 5年1ヶ月(通院回数 37回) |
治療費 | 308,000円(税込:当時の総額) |
リスク・副作用 |
矯正歯科治療に伴う一般的なリスクや副作用について
|
初診時年齢6歳6か月ですが、受け口が酷く噛み合せも深い症状です。
在宅中(主に就寝時)にして頂く取り外し式の装置のみで改善し、綺麗な永久歯列となっております。
開咬
ケース1 6歳10ヶ月 → 11歳9ヶ月



6歳10ヶ月



11歳9ヶ月
主訴 | 前歯が咬み合わない |
---|---|
診断名 | 開咬 |
年齢 | 6歳 |
治療に用いた主な装置 | 歯列矯正用咬合誘導装置(ムーシールド) |
抜歯部位 | 非抜歯 |
治療期間(通院回数) | 4年11ヶ月(通院回数 36回) |
治療費 | 308,000円(税込:当時の総額) |
リスク・副作用 |
矯正歯科治療に伴う一般的なリスクや副作用について
|
開咬を放っておくと口呼吸がメインになり、風邪やインフルエンザなど空気感染するウイルス性の病気にかかりやすくなり、お口の乾燥で虫歯や歯周病のリスクも高まります。
前歯でしっかりと物を噛む事ができるようになりました。