
歯並びを治したいけど、装置の見た目が気になって、なかなか矯正治療に踏み出せない・・・という方がたくさんおられるかと思います。マウスピース型矯正装置(アソアライナー)は、透明で薄いマウスピースを使用した目立ちにくい矯正治療を行うことができます。
マウスピース型矯正装置
(アソアライナー)の
メリット
-
Merit 01
目立ちにくい
ワイヤーと矯正装置を使用せず、透明で薄いマウスピースを使用するため、目立ちにくく、見た目を気にすることなく治療を行うことができます。
-
Merit 02
取り外しできる
一般的なワイヤー矯正の場合、食事のときに食べ物が挟まったり、歯磨きが難しいということがあります。マウスピース型矯正装置(アソアライナー)の場合、好きなときに取り外せるため、快適に従来通りの生活を送ることができます。
-
Merit 03
患者様への治療負担を
軽減できる毎回の治療は、基本的にマウスピース型矯正装置(アソアライナー)のお渡しや確認になるため、短時間で終了します。
-
Merit 04
金属アレルギーの方でも
治療できる金属を使用していない装置のため、金属アレルギーの方でも安心してご使用いただけます。

デメリット
- ・マウスピース型矯正装置(アソアライナー)では対応できないケースがあります。
- ・装着時間を守っていただけない場合、治療が進行しません。
- ・治療途中で何度か歯型とりを行う必要があります。
実際の治療例
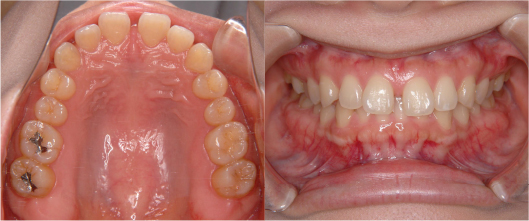
ケース1 23歳10ヶ月 → 25歳6ヶ月


治療前


治療後
主訴 | 歯のガタつき |
---|---|
診断名 | 叢生 |
年齢 | 23歳10ヶ月 |
治療に用いた主な装置 | 上あごのみマウスピース型矯正装置 (アソアライナー) |
抜歯部位 | 非抜歯 |
治療期間(通院回数) | 1年8ヶ月 (通院回数20回) |
治療費 | 304,500円 (税込:当時の総額) |
リスク・副作用 |
矯正歯科治療に伴う一般的なリスクや副作用について
|
ケース2 29歳9ヶ月 → 32歳11ヶ月


治療前


治療後
主訴 | 前歯のすきま |
---|---|
診断名 | 叢生 |
年齢 | 29歳9ヶ月 |
治療に用いた主な装置 | 上あごのみマウスピース型矯正装置 (アソアライナー) |
抜歯部位 | 非抜歯 |
治療期間(通院回数) | 3年2ヶ月 (通院回数38回) |
治療費 | 273,000円 (税込:当時の総額) |
リスク・副作用 |
矯正歯科治療に伴う一般的なリスクや副作用について
|
ケース3 40歳11か月 → 42歳8ヶ月


治療前


治療後
主訴 | 出っ歯とガタつき |
---|---|
診断名 | 上顎前突症・叢生 |
年齢 | 40歳11か月 |
治療に用いた主な装置 | 上下顎マウスピース型矯正装置 (アソアライナー) |
抜歯部位 | 非抜歯 |
治療期間(通院回数) | 1年9か月 (通院回数12回) |
治療費 | 400,000円 (税込:当時の総額) |
リスク・副作用 |
矯正歯科治療に伴う一般的なリスクや副作用について
|
マウスピース型矯正装置にて、上下顎は前歯部をエナメル質の範囲内で歯を削り前歯部を引っ込めて、下顎はガタつきを改善いたしました。
治療ケースに
ついて
対象ケース
軽度のガタガタ(叢生)
すきっ歯
八重歯
前歯のねじれ
軽度の出っ歯、受け口
矯正治療後の後戻り
治療できないケース
開咬(上下の前歯が咬み合わない)
抜歯が必要なケース
骨格性の問題が大きいケース
過蓋咬合(咬み合わせが深い)
上記のように、マウスピース型矯正装置(アソアライナー)で対応できないケースがあります。そのため、対応ケースについては一度ご相談ください。
治療の流れ

-
1カウンセリング
-
2精密検査
対応できるケースかどうかの正確な判断は、検査結果をもとに判断いたします。
-
3歯型とり
歯型で模型を作製し、模型から歯並びや咬み合わせの状態をデータ化、それをもとに治療計画を立てます。
-
4矯正治療スタート
マウスピースを1日17時間以上、毎日装着していただくことで、少しずつ歯が移動していきます。
-
5定期的に来院
定期的に来院していただき、治療段階に合わせてマウスピースをお渡ししていきます。
-
6矯正治療終了・経過観察
矯正治療が終了したあとは、歯が安定するまで、透明のマウスピースを装着していただき、経過観察を行います
矯正治療のリスク・副作用
- 個人差がありますが、歯に痛みや違和感が出ることがあります。
- 唇や頬に矯正装置が擦れやすく、口内炎ができやすくなります。
- 矯正装置を付けると歯磨きが難しくなるため、虫歯や歯肉炎、歯周病にかかるリスクが高くなります。
- 矯正治療後、保定装置を装着していただけないと後戻りする可能性があります。
- 使用する矯正装置によっては、完成物薬機法対象外の矯正歯科装置であり、
医薬品副作用被害救済制度の対象外となる場合があります。