下顎前突(受け口)の歯並びとは
一般的に「受け口」と呼ばれる歯並びは、下あごや下の歯が基準値以上に前に出ている状態です。上顎前突(出っ歯)の場合と同様に、治療前後で口元の変化がみられるケースでもあります。
また、骨格の問題が大きいケースでは、外科手術を併用した外科矯正で治療を行っています。ここでは、外科矯正の症例も載せていますので、ご覧下さい。

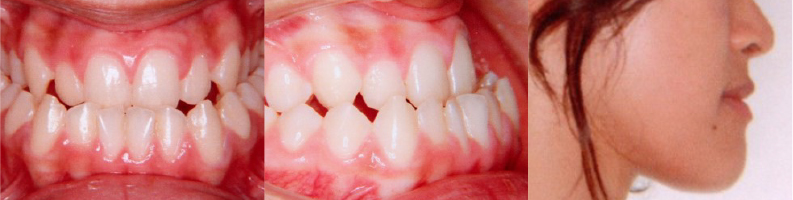
受け口が治って、横顔も綺麗に!

初診時、上下の歯が咬み合っていないことや、口元が出ていることを気にされていました。矯正治療によって、咬み合わせと顔貌が変化したことで、自信を持っていただけたかと思います。同じような受け口で、「こんな咬み合わせ、治るのかな・・・」と不安に思っておられる方は一度ご相談ください。
症例情報
BEFORE

AFTER

| 主訴 | 下の歯が出ている、咬んだ時の上の歯と下の歯が咬み合わない、口元が出ている |
|---|---|
| 診断名 | 反対咬合 |
| 年齢 | 22歳9ヶ月 |
| 治療に用いた 主な装置 |
上下リンガルブラケット矯正装置 |
| 抜歯部位 | 非抜歯 |
| 治療期間 (通院回数) |
4年1ヶ月(通院回数 49回) |
| 治療費用 | 1,344,000円(当時の総額) |
| リスク・ 副作用 |
|
より安定しやすい咬み合わせに

外科手術を併用した矯正治療を行った例です。治療前は下あごが大きく前にずれ、しっかりと咬み合わせることができていませんが、治療後にはしっかりと咬み合わせることができています。外科手術を行い、骨格の問題を改善したことで正しい咬み合わせとなり、より安定しやすい状態になりました。
症例情報
BEFORE

AFTER

| 主訴 | 下の歯が出ている、歯のガタつき、舌の癖、舌の先が下の歯に当たっている |
|---|---|
| 診断名 | 反対咬合 |
| 年齢 | 19歳3ヶ月 |
| 治療に用いた 主な装置 |
セルフライゲーションブラケット装置(クリッピーC) |
| 抜歯部位 | 非抜歯 |
| 治療期間 (通院回数) |
3年(通院回数 36回) |
| 治療費用 | おおよそ35万円+別途手術代25万~35万 (入院費は含まれておりません) ※保険適用のため、多少前後いたします。 |
| リスク・ 副作用 |
|
矯正治療のリスク・副作用
- 個人差がありますが、歯に痛みや違和感が出ることがあります。
- 唇や頬に矯正装置が擦れやすく、口内炎ができやすくなります。
- 矯正装置を付けると歯磨きが難しくなるため、虫歯や歯肉炎、歯周病にかかるリスクが高くなります。
- 矯正治療後、保定装置を装着していただけないと後戻りする可能性があります。
- 使用する矯正装置によっては、完成物薬機法対象外の矯正歯科装置であり、
医薬品副作用被害救済制度の対象外となる場合があります。




